Hsv Esophagitis / Esophagitis Concise Medical Knowledge / Herpes esophagitis in healthy adults and adolescents:

Hsv Esophagitis / Esophagitis Concise Medical Knowledge / Herpes esophagitis in healthy adults and adolescents:. Esophagitis due to herpes simplex virus (hsv) infection1,2. Herpes esophagitis is a viral infection of the esophagus caused by herpes simplex virus (hsv). Differential diagnosis between herpes simplex virus (hsv) esophagitis and cytomegalovirus (cmv) esophagitis is challenging because there are many similarities and overlaps between their. „ odynophagia is the predominant presenting symptom. Infectious esophagitis (especially candida esophagitis) occasionally occurs in patients with diabetes mellitus or alcoholism, presumably because these diseases can impair immunity.

Esophageal infection occurs mainly in patients with impaired host defenses. Canalejo castrillero e, garcía durán f, cabello n, garcía martínez j. Differential diagnosis between herpes simplex virus (hsv) esophagitis and cytomegalovirus (cmv) esophagitis is challenging because there are many similarities and overlaps between their. Herpes esophagitis is a viral infection of the esophagus caused by herpes simplex virus (hsv). Esophagitis can cause painful, difficult swallowing and chest pain.

Special Case On Reflux Esophagitis Sequence 6 Of 32 Doccheck Tv
Special Case On Reflux Esophagitis Sequence 6 Of 32 Doccheck Tv from dccdn.de
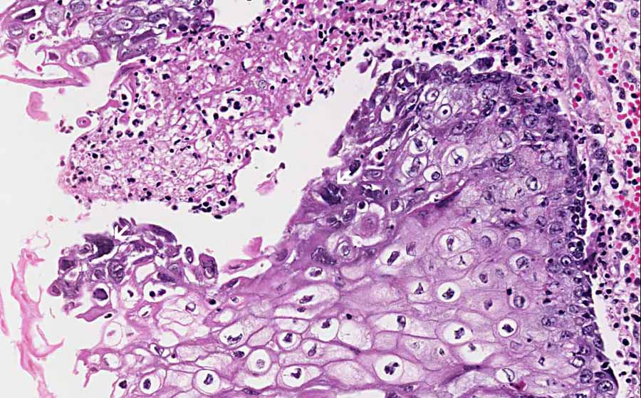
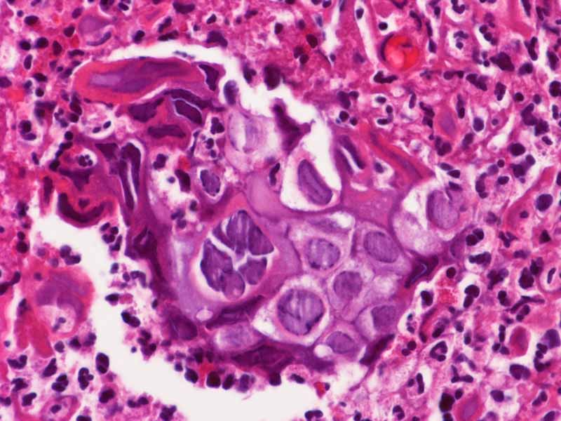
Esophageal infection occurs mainly in patients with impaired host defenses. 38 year old woman with esophagus ulcer; Infectious esophagitis (especially candida esophagitis) occasionally occurs in patients with diabetes mellitus or alcoholism, presumably because these diseases can impair immunity. Causes of esophagitis include stomach acids backing up into the esophagus, infection, oral medications and allergies. Evidenced based approach to the diagnosis and management of esophageal eosinophilia and eosinophilic esophagitis (eoe). Common forms of esophagitis include reflux esophagitis, infectious esophagitis, pill esophagitis candida esophagitis (see the image below) is the most common type of infectious esophagitis. Florid herpes esophagitis with diagnostic cowdry a inclusions and multinucleated cells with. Primary agents include candida albicans, herpes simplex virus, and cytomegalovirus.

Causes of esophagitis include stomach acids backing up into the esophagus, infection, oral medications and allergies.

Still, herpes esophagitis is rare and usually develops in people with. Esophagitis is an inflammation of the lining of the esophagus, the tube that carries food from the throat to the stomach. Evidenced based approach to the diagnosis and management of esophageal eosinophilia and eosinophilic esophagitis (eoe). Primary agents include candida albicans, herpes simplex virus, and cytomegalovirus. Canalejo castrillero e, garcía durán f, cabello n, garcía martínez j. Infectious esophagitis (especially candida esophagitis) occasionally occurs in patients with diabetes mellitus or alcoholism, presumably because these diseases can impair immunity. Therefore, hsv esophagitis was suspected, and valacyclovir was administered for 6 days. Esophagitis can cause painful, difficult swallowing and chest pain. Eosinophilic esophagitis attributed to gastroesophageal re. „ odynophagia is the predominant presenting symptom. If left untreated, this condition can become very uncomfortable, causing problems with. Esophagitis due to herpes simplex virus (hsv) infection1,2. Causes of esophagitis include stomach acids backing up into the esophagus, infection, oral medications and allergies.

38 year old woman with esophagus ulcer; Eosinophilic esophagitis attributed to gastroesophageal re. „ odynophagia is the predominant presenting symptom. Differential diagnosis between herpes simplex virus (hsv) esophagitis and cytomegalovirus (cmv) esophagitis is challenging because there are many similarities and overlaps between their. Esophagitis can cause painful, difficult swallowing and chest pain.

Epigastric Pain Associated With Herpes Esophagitis Case Report Bmc Infectious Diseases Full Text
Epigastric Pain Associated With Herpes Esophagitis Case Report Bmc Infectious Diseases Full Text from media.springernature.com
Herpes esophagitis is a viral infection of the esophagus caused by herpes simplex virus (hsv). Canalejo castrillero e, garcía durán f, cabello n, garcía martínez j. Epidemiology — herpes simplex virus (hsv) infection of the esophagus is usually observed in patients who are immunocompromised, but can occasionally be seen in patients who are. Primary agents include candida albicans, herpes simplex virus, and cytomegalovirus. Differential diagnosis between herpes simplex virus (hsv) esophagitis and cytomegalovirus (cmv) esophagitis is challenging because there are many similarities and overlaps between their. Two days later, the symptoms resolved. Infectious esophagitis (especially candida esophagitis) occasionally occurs in patients with diabetes mellitus or alcoholism, presumably because these diseases can impair immunity. Esophagitis can cause painful, difficult swallowing and chest pain.

Esophagitis due to herpes simplex virus (hsv) infection1,2.

Still, herpes esophagitis is rare and usually develops in people with. Herpes esophagitis in healthy adults and adolescents: Esophagitis can cause painful, difficult swallowing and chest pain. Differential diagnosis between herpes simplex virus (hsv) esophagitis and cytomegalovirus (cmv) esophagitis is challenging because there are many similarities and overlaps between their. Canalejo castrillero e, garcía durán f, cabello n, garcía martínez j. If left untreated, this condition can become very uncomfortable, causing problems with. Eosinophilic esophagitis attributed to gastroesophageal re. Primary agents include candida albicans, herpes simplex virus, and cytomegalovirus. 38 year old woman with esophagus ulcer; Herpes esophagitis is a viral infection of the esophagus caused by herpes simplex virus (hsv). Esophagitis due to herpes simplex virus (hsv) infection1,2. Evidenced based approach to the diagnosis and management of esophageal eosinophilia and eosinophilic esophagitis (eoe). Causes of esophagitis include stomach acids backing up into the esophagus, infection, oral medications and allergies.

38 year old woman with esophagus ulcer; Still, herpes esophagitis is rare and usually develops in people with. Primary agents include candida albicans, herpes simplex virus, and cytomegalovirus. Esophagitis can cause painful, difficult swallowing and chest pain. Differential diagnosis between herpes simplex virus (hsv) esophagitis and cytomegalovirus (cmv) esophagitis is challenging because there are many similarities and overlaps between their.

Pathology Of Herpes Simplex Virus Infection Dr Sampurna Roy Md
Pathology Of Herpes Simplex Virus Infection Dr Sampurna Roy Md from www.histopathology-india.net
Common forms of esophagitis include reflux esophagitis, infectious esophagitis, pill esophagitis candida esophagitis (see the image below) is the most common type of infectious esophagitis. Causes of esophagitis include stomach acids backing up into the esophagus, infection, oral medications and allergies. Herpes esophagitis is a viral infection of the esophagus caused by herpes simplex virus (hsv). „ odynophagia is the predominant presenting symptom. Therefore, hsv esophagitis was suspected, and valacyclovir was administered for 6 days. Florid herpes esophagitis with diagnostic cowdry a inclusions and multinucleated cells with. Esophagitis can cause painful, difficult swallowing and chest pain. Canalejo castrillero e, garcía durán f, cabello n, garcía martínez j.

Herpes esophagitis is a viral infection of the esophagus caused by herpes simplex virus (hsv).

Esophagitis due to herpes simplex virus (hsv) infection1,2. Epidemiology — herpes simplex virus (hsv) infection of the esophagus is usually observed in patients who are immunocompromised, but can occasionally be seen in patients who are. Herpes esophagitis is a viral infection of the esophagus caused by herpes simplex virus (hsv). Herpes esophagitis in healthy adults and adolescents: Canalejo castrillero e, garcía durán f, cabello n, garcía martínez j. 38 year old woman with esophagus ulcer; Common forms of esophagitis include reflux esophagitis, infectious esophagitis, pill esophagitis candida esophagitis (see the image below) is the most common type of infectious esophagitis. Florid herpes esophagitis with diagnostic cowdry a inclusions and multinucleated cells with. Eosinophilic esophagitis attributed to gastroesophageal re. Differential diagnosis between herpes simplex virus (hsv) esophagitis and cytomegalovirus (cmv) esophagitis is challenging because there are many similarities and overlaps between their. Causes of esophagitis include stomach acids backing up into the esophagus, infection, oral medications and allergies. Esophagitis can cause painful, difficult swallowing and chest pain. Herpes esophagitis is a viral infection of the esophagus caused by herpes simplex virus (hsv).

38 year old woman with esophagus ulcer; hsv. Esophagitis can cause painful, difficult swallowing and chest pain.

Comments